Implants en Zircone
L’option 100% céramique pour remplacer les dents avec une esthétique naturelle et une intégration tissulaire saine. Chirurgie précise et mini-invasive.

Pourquoi choisir la zircone ?
Conçus pour les patients qui privilégient la santé, l’esthétique et les matériaux hautement tolérés. Chirurgie précise et récupération confortable.
Haute biocompatibilité
Matériau céramique bio-inerte, totalement sans métal. Conçu pour minimiser les réactions indésirables et favoriser une intégration saine des tissus mous.
Esthétique naturelle supérieure
Couleur blanche qui se fond exceptionnellement bien dans la gencive, sans l’assombrissement grisâtre qui peut apparaître avec les implants métalliques. Particulièrement indiqué pour les zones antérieures et les biotypes gingivaux fins.
Sans galvanisme
En tant que matériau non conducteur, la zircone ne participe pas aux phénomènes galvaniques. Un avantage supplémentaire pour ceux qui recherchent une bouche 100% sans métal.
Récupération confortable
Planification 3D, chirurgie mini-invasive et PRF pour favoriser une cicatrisation dans les meilleures conditions. Nous vous accompagnons avec des recommandations personnalisées tout au long du processus d’intégration.
Vérification indépendante
Nous travaillons avec des systèmes céramiques vérifiés avec des surfaces contrôlées par analyse externe.
Protocole biologique complet
Nous ne posons pas seulement l’implant : nous préparons votre terrain biologique. Nous évaluons nutrition, habitudes et état général pour créer les conditions optimales d’intégration. PRF, supplémentation et suivi continu.
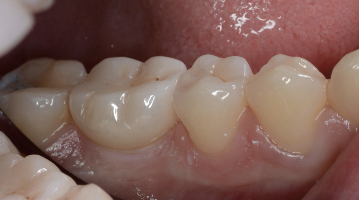
Les résultats parlent d’eux-mêmes

Intégration naturelle avec les dents voisines et ligne gingivale saine.

Implant cicatrisé montrant une jonction tissulaire propre et stable.
Comment nous prenons soin de chaque étape
Un processus clair, une technologie avancée et un accompagnement continu.
Diagnostic 3D
CBCT et scan intra-oral pour une planification au millimètre près.
Préparation biologique
Optimisation de votre terrain : recommandations personnalisées, suppléments et PRF.
Chirurgie mini-invasive
Techniques précises, contrôle des tissus et thérapies régénératives pour une récupération plus confortable.
Intégration et couronnes céramiques
Restaurations 100% céramiques qui se fondent dans votre sourire.
Une qualité certifiée
Clean Implant
Surfaces vérifiées par analyse externe indépendante.
Technologie suisse
Implants céramiques de dernière génération avec précision de fabrication.
Approche intégrative
Protocole de santé systémique pour optimiser le succès du traitement.
Questions fréquentes
Les implants en zircone présentent des taux de survie bien documentés dans la littérature scientifique. La résistance est excellente lorsque le diamètre et la longueur appropriés sont sélectionnés pour chaque cas. C’est pourquoi nous réalisons un diagnostic 3D complet pour confirmer si la zircone est la meilleure option pour vous.
Entre 3 et 6 mois de la chirurgie à la couronne définitive, selon chaque cas. Dans certains cas, nous recommandons l’implantation immédiate.
Notre chirurgie est précise et respectueuse des tissus. Avec le PRF et des recommandations personnalisées, la plupart des patients rapportent un inconfort léger et gérable.
Les implants en zircone sont une excellente option pour la plupart des patients. Ils sont particulièrement indiqués si vous recherchez des restaurations 100% sans métal, privilégiez l’esthétique en zone antérieure, ou préférez les matériaux céramiques par philosophie de santé. En consultation, nous évaluons votre cas spécifique pour confirmer la meilleure option.
Traitements associés
Retrait d’Amalgames
Protocole SMART
En savoir plusCavitations FDOJ
Diagnostic avancé
En savoir plusOzonothérapie Dentaire
Thérapie complémentaire
En savoir plusPRF Régénératif
Votre propre biologie
En savoir plusCBCT Cone Beam
Diagnostic 3D
En savoir plusOrthodontie Intégrative
Dr. Patricia Díaz
En savoir plusDentisterie Pédiatrique Biologique
Dr. Brenda Martínez
En savoir plusMédecine Intégrative
Dr. Patrick Welter
En savoir plusVotre sourire, sans métal avec une esthétique naturelle
Découvrez si les implants céramiques sont la meilleure option pour vous. Évaluation personnalisée avec nos spécialistes.